英文名称:Anti-beta endorphin
中文名称:β-内啡肽/β endorphin抗体
抗体来源:兔子
克隆类型:多克隆
交叉反应:人、小鼠、大鼠、牛、羊
产品应用:ELISA=1:500-1000 IHC-P=1:100-500 IHC-F=1:100-500 IF=1:100-500(石蜡切片需做抗原修复)
分 子 量:4.5kDa
细胞定位:分泌型蛋白
状态:冻干或液体
浓度:1mg/ml
来源于:KLH conjugated synthetic peptide derived from human beta endorphin:237-267/267
亚型:IgG
纯化方法:affinity purified by Protein A
储存液:0.01M TBS(pH7.4) with 1% BSA, 0.03% Proclin300 and 50% Glycerol.
别 名:β-Endorphin; β endorphin; βendorphin; Beta-endorphin; Corticotropin lipotropin; POMC; Proopiomelanocortin; COLI_HUMAN; β-EP; β EP; βEP.
保存条件:在-20°C下保存一年。避免反复冻融。冻干抗体在室温下至少稳定一个月,并在-20°C下保持一年以上。当在无菌pH7.4 0.01M PBS或抗体稀释剂中重组时,抗体在2-4°C下至少稳定两周。
产品介绍:
该基因编码一种多肽激素前体,通过被称为前激素转化酶的枯草杆菌蛋白酶样酶分解进行广泛的组织特异性翻译后加工。多肽前体内有8个潜在的裂解位点,根据组织类型和可用的转化酶,加工可产生多达10个涉及多种细胞功能的生物活性肽。编码蛋白主要在垂体前叶的促肾上腺皮质细胞中合成,该细胞有四个分裂位点;促肾上腺皮质激素是正常类固醇生成和维持正常肾上腺重量所必需的,促脂蛋白β是主要的终产物。在其他组织中,包括下丘脑、胎盘和上皮,所有的卵裂部位都可以被使用,从而产生在疼痛和能量平衡、黑素细胞刺激和免疫调节中起作用的肽。这些包括几种不同的促黑素、促脂素和内啡肽,它们包含在促肾上腺皮质激素和β促脂素肽中。该基因突变与早发性肥胖、肾上腺功能不全和红发色素沉着有关。另外,还描述了编码相同蛋白质的剪接转录变体。[由RefSeq提供,2008年7月]。
功能:
促肾上腺皮质激素刺激肾上腺释放皮质醇。
MSH(黑素细胞刺激激素)通过增加黑素细胞中黑素的产生来增加皮肤的色素沉着。
β-内啡肽和甲脑啡肽是内源性阿片类药物。
亚细胞位置:
秘密的。
组织特异性:
促肾上腺皮质激素和促肾上腺皮质激素由垂体产生。
翻译后修改:
在成对的碱性残基处的特异性酶切产生不同的活性肽。
O-糖基化;还原糖可能是N-乙酰半乳糖胺。
疾病:
POMC缺陷可能与肥胖(肥胖)易感性有关[MIM:601665]。它是一种以体重增加超过骨骼和身体需求限制为特征的疾病,是由于身体脂肪过度积聚的结果。
pomc缺陷是引起阿片黑素原缺乏(pomcd)的原因[mim:609734]。受影响的个体出现早发性肥胖、肾上腺功能不全和红发。
相似性:
属于POMC家族。
重要提示:
本产品仅用于研究用途,不用于人类、治疗或诊断应用
内啡肽是体内自己产生的一类内源性的具有类似吗啡作用的肽类物质,是内啡肽(endogenous)和吗啡(morphine)的缩些。
内啡肽(endorphin)具有吗啡样活性的神经肽的总称亦称安多芬或脑内啡,是由脑垂体分泌的类吗啡生物化学合成物激素。它是由脑下垂体和脊椎动物的丘脑下部所分泌的氨基化合物(肽) 。它能与吗啡受体结合,产生跟吗啡、鸦剂一样有止痛和欣快感。等同天然的镇痛剂。利用药物可增加脑内啡的分泌效果。 英文Endorphin是endomorphin的简化写法,endo有内在之含意,而morphin则为吗啡的英文名称,故endorphin有大脑自我制造的类吗啡物质之意。
内啡肽是体内自己产生的一类内源性的具有类似吗啡作用肽类物质。是内源(endogenous)和吗啡(morphine)的缩略词。内啡肽可包括α-内啡肽、β-内啡肽、γ-内啡肽、蛋氨酸-脑啡肽、亮氨酸-脑啡肽、强啡肽A、强啡肽B等,都具有很强的类吗啡活性。蛋氨酸-脑啡肽的氨基酸序列为酪氨酸-甘氨酸-甘氨酸-苯丙氨酸-蛋氨酸。亮氨酸-脑啡肽第五个氨基酸不是蛋氨酸而是亮氨酸。α、β、γ-内啡肽分别为11肽、31肽、18肽,它们的前五个氨基酸序列与蛋氨酸-脑啡肽的五肽相同。这类肽具有很强的生理功能。向动物脑室中注射内啡肽,可引起全身深度失去痛觉,体温下降,行为变得木僵。再施以吗啡拮抗剂纳洛酮(naloxone),不再有上述失痛感觉。内啡肽诱导出的行为表明,这些肽可能参与感情应答的调节从垂体中分离出的内啡肽,其代表为β-内啡肽及镇痛作用更强的强啡肽。它们都属于内源性阿片肽,是机体抗痛系统的组成部分,具有生理意义。当机体有伤痛刺激时,内源性阿片肽被释放出来以对抗疼痛。在内腓肽的激发下,人的身心处于轻松愉悦的状态中,免疫系统实力得以强化,并能顺利入梦,消除失眠症。
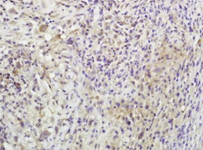
组织/细胞:小鼠淋巴瘤;4%多聚甲醛固定石蜡包埋;
抗原提取:柠檬酸缓冲液(0.01M,pH 6),15min煮沸,用3%过氧化氢阻断内源性过氧化物酶30min;37℃下阻断缓冲液(正常山羊血清)20 min;
孵育:抗β-内啡肽多克隆抗体,未结合1:600,在4°C下过夜,然后与二级抗体结合,DAB染色。
公司优势:
1)质量:我司提供的的试剂为世界。
2)价格:价格实惠,量大从优。
4)服务:提供完整的售前、售后和售中服务。售后到底。
如需订购β-内啡肽/β endorphin抗体,请联系我们。
| Anti-MRP3(Multidrug Resistanec-Associated Protein 3) 多药耐药相关蛋白3抗体 |
| Anti-MrpL28 (mitochondrial ribosomal protein L28) 线粒体核糖体蛋白L28抗体 |
| Anti-MSH-2 (MutS homolog 2) 错配修复蛋白2抗体 |
| anti-MLH1(Mutl homolog l gene) 错配修复蛋白1抗体 |